Skip to main content
Desenho de um crânio humano focando na articulação temporomandibular

DTM

Diagnóstico, avaliação e tratamento

DTM significa Disfunção Temporomandibular, uma condição que afeta a articulação temporomandibular (ATM) e os músculos que controlam o movimento da mandíbula. Quando essa articulação não funciona corretamente, pode causar uma série de desconfortos e problemas. Para proporcionar um alívio duradouro, o tratamento requer uma avaliação eficaz e uma abordagem multidisciplinar.

Dor orofacial

Aguda ou crônica, ela pode variar em intensidade e duração

Só quem já sentiu uma dor orofacial sabe o quanto não podemos negligenciar o seu diagnóstico e tratamento. Esta condição afeta a região da face, boca e pescoço e pode ser causada por diversos fatores, afetando a capacidade do paciente de falar, comer e realizar atividades diárias normais.

Mulher branca com feição de dor na boca com as mãos na mandibula

Os principais sintomas são:

O tratamento pode incluir diferentes abordagens:

Ortodontia

Tratamentos ortodônticos para adultos e crianças

Aparelhos fixos e removíveis, alinhadores invisíveis, cuidados preventivos. Como ortodontista, entendo que cada paciente é único, com suas próprias necessidades, preocupações e expectativas. Por isso, a escuta ativa e a empatia são essenciais para fornecer um tratamento ortodôntico personalizado e de excelência.

Mulher negra sorrindo mostrando os dentes com aparelho metálico

Aparelho metálico

Foto de um modelo dental mostrando a utilização do aparelho estético

Aparelho estético

Mulher branca colocando os alinhadores dentais com as mãos

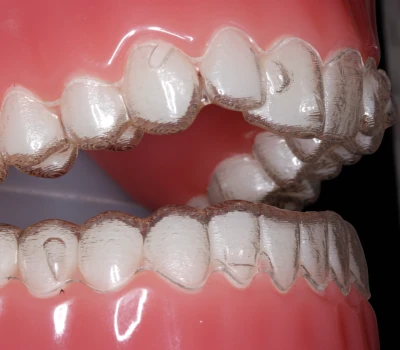
Alinhadores

Pessoa branca em um consultório fazendo limpeza dos dentes, profilaxia

Profilaxia (limpeza)

Mantendo a saúde bucal em dia

Quando falamos em autocuidado, muitos se lembram dos cuidados com a pele, cabelos, mas se esquecem daquele check-up com o dentista. Para manter a saúde bucal em dia, recomenda-se a limpeza dos dentes a cada seis meses, em consultório odontológico. Um cuidado que tem o poder de transformar o nosso bem-estar.

Clareamento

Realizado em consultório ou caseiro, com moldes personalizados

É normal o escurecimento dental, afinal, são diversos os alimentos com excesso de pigmentação ingeridos todos os dias. Para clarear os dentes, sem perder a naturalidade, o procedimento é simples e pode ser feito no consultório ou até mesmo em casa, sempre após a avaliação prévia e seguindo as recomendações adequadas.

mulher branca desfocada sorrindo e mostrando os dentes brancos